What is the latest update on the injury recovery and AEW return status of Will Ospreay?
A new update on the status of the international pro wrestling star has surfaced, so let’s find out!
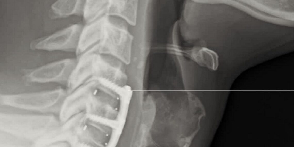
Will Ospreay’s recovery from neck surgery appears to be progressing well, according to a new update from the Body Alignment Clinic in the UK.
The clinic posted an update on Saturday noting that Ospreay is “doing great” six weeks after undergoing neck surgery in mid-September. The post included the caption “Jan 2026”, which appears to indicate the possible timeframe for his in-ring return.
“AEW Allstar Will Ospreay six weeks post op and doing great! Still some way to go with but we’re on the right road,” the statement began. “Jan 2026. Don’t Try This At Home!”
Ospreay reportedly had been battling two herniated discs in his neck for several months prior to his match at AEW x NJPW: Forbidden Door on August 24. Following that event, AEW ran an injury angle involving The Death Riders to officially write him off television.
This marks the first surgery of Ospreay’s career. Speaking with CBS Sports in late August, “The Aerial Assassin” admitted he was struggling with the mental aspect of facing such a major operation.
“I’m anxious. I’m scared. Generally, I’m terrified,” Ospreay said. “Not about the match, but just about afterwards. I don’t know what it looks like afterwards, because for the first time in my life, I have been disqualified from doing the thing that I love doing.”
After undergoing surgery, Ospreay returned to social media on September 18 to share a brief statement updating fans on his status.
“The road will be long, but it’ll be worth it to see you all again,” he wrote via his official Instagram page on 9/18. “Surgery was a success.”
As of now, AEW has not confirmed when Will Ospreay is expected to make his highly-anticipated return to competition, but as always, we will keep you posted here at WrestlingHeadlines.com as updates regarding his return status continue to surface.
